HER3 Rabbit Monoclonal Antibody(ARB585)
CAT.NO. : ARB6877
RMB Please choose
RMB Please choose
Size:
Trail, Bulk size or Custom requests Please contact us
Background
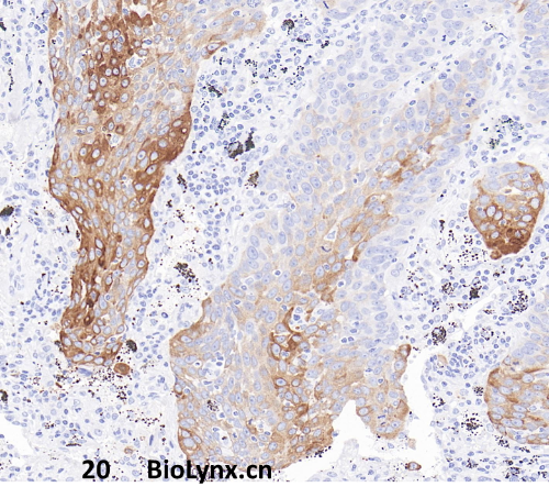
HER3 (Human Epidermal Growth Factor Receptor 3), a member of the EGFR tyrosine kinase receptor family, functions as a critical dimerization partner for other ERBB receptors (notably HER2) despite lacking intrinsic kinase activity. HER3 is predominantly expressed in kidney and tonsil. In tumor tissue, it is mainly expressed in breast cancer and lung cancer. HER3 is a critical biomarker and therapeutic target in oncology, with its overexpression and activation detected via immunohistochemistry (IHC), fluorescence in situ hybridization (FISH), or serum assays correlating strongly with aggressive tumor behavior, therapy resistance and poor prognosis. Pathologically, HER3+ tumor cells exhibit increased epithelialmesenchymal transition (EMT) signatures and stromal invasion.
Application
|
Application |
Dilution Ratio |
|
IHC-P |
1:100-1:200 |
Overview
|
Predicted Molecular Wt |
148kDa |
|
Species Cross-reactivity |
Human |
|
Applications |
IHC-P |
|
Purity |
ProA affinity purified IgG |
|
Form |
Liquid |
|
Swissprot ID |
P21860 |
|
Subcellular location |
Membrane and cytoplasm |
|
Recommended Method |
Heat induced epitope retrieval with Tris-EDTA buffer (pH 9.0), primary antibody incubate at RT (18℃-25℃) for 30 minutes. |
|
Immunogen |
Synthetic peptide. |
|
Storage Buffer |
PBS 59%, Sodium azide 0.01%, Glycerol 40%, BSA 0.05% |
Data

Immunohistochemical staining of human lung tissue using HER3 Rabbit Monoclonal Antibody(ARB585)
Storage
Store at 4°C short term. For long term storage, store at -20°C, avoiding freeze/thaw cycles.
Research Use Only
For Research Use Only. Not for use in diagnostic procedures.
New Products
