Histone H2A.X Rabbit Polyclonal Antibody
CAT.NO. : ARA0200
US$ Please choose
US$ Please choose
Size:
Trail, Bulk size or Custom requests Please contact us
*产品价格可能会有所调整,请以品牌方官网实时更新的价格为准,以确保准确性。
Background
Histone H2A.X is a variant of the histone H2A protein, and its phosphorylated form, γH2AX (S139), is a key marker for DNA double-strand breaks (DSBs). It plays a crucial role in cell cycle checkpoint activation and DNA repair following DSBs.
Application
WB (1/500 - 1/1000), IH (1/50 - 1/100), IF/IC (1/50 - 1/200), ChIP (1/10 - 1/100)
Data

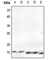
Western blot analysis of Histone H2A.X expression in HEK293T (A), Hela (B), mouse testis (C), rat lung (D), rat testis (E) whole cell lysates. (Predicted band size: 15 kD; Observed band size: 15 kD)

-
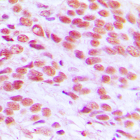
Immunohistochemical analysis of Histone H2A.X staining in human breast cancer formalin fixed paraffin embedded tissue section. The section was pre-treated using heat mediated antigen retrieval with sodium citrate buffer (pH 6.0). The section was then incubated with the antibody at room temperature and detected using an HRP conjugated compact polymer system. DAB was used as the chromogen. The section was then counterstained with haematoxylin and mounted with DPX.

Western blot analysis of Histone H2A.X expression in HEK293T (A), Hela (B), mouse testis (C), rat lung (D), rat testis (E) whole cell lysates. (Predicted band size: 15 kD; Observed band size: 15 kD)
Storage
Shipped at 4°C. Upon delivery aliquot and store at -20°C for one year. Avoid freeze/thaw cycles.
New Products
