HRP-conjugated Rabbit IgG(H+L) Multiclonal Goat Monoclonal antibody
CAT.NO. : ARA6479
RMB Please choose
RMB Please choose
*产品价格可能会有所调整,请以品牌方官网实时更新的价格为准,以确保准确性。
Background
AREX Multiclonal Monoclonal Antibodies are precision-engineered formulations of recombinant monoclonal antibodies, each targeting distinct complementary epitopes on the same IgG molecule. Every recombinant clone included in the final multiclonal mixture undergoes stringent characterization and screening to ensure exceptional functional performance. Candidate clones are then combined in varying ratios, with each combination functionally validated across multiple experimental applications to identify the optimal formulation. Critically, each production lot of AREX Multiclonal Monoclonal Antibody uses the identical set of high-performance recombinant clones, ensuring exceptional batch-to-batch consistency and highly reproducible experimental results.
Application
|
Application |
Dilution Ratio |
|
WB |
1:10,000 - 1:200,000 (1:10,000-1:40,000 is suggested) |
|
ELISA |
1:10,000 - 1:100,000 |
Overview
|
Concentration |
1.0 mg/mL |
|
Host Species |
Goat |
|
Species Reactivity |
Rabbit |
|
Physical State |
Liquid |
|
Purity |
The antibody was purified from culture media supernatant by immunoaffinity chromatography using Protein G beads. |
|
Storage Buffer |
PBS with 50% glycerol, 10 mg/mL BSA, 0.1% Proclin-300, pH 7.4. |
|
Clonality |
Multiple mAbs |
Data

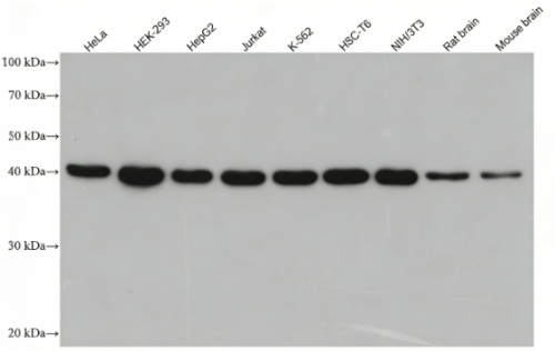
Various lysates were subjected to SDS-PAGE followed by western blot with TDP43 Rabbit Monoclonal antibody at dilution of 1:20000. HRP-conjugated Rabbit IgG(H+L) Multiclonal Goat Monoclonal antibody was used at 1:20000 for detection.
Storage
Store at 4°C short term. For long term storage, store at -20°C, avoiding freeze/thaw cycles.
Research Use Only
For Research Use Only. Not for use in diagnostic procedures.
New Products
