Hsp27 Rabbit Monoclonal Antibody(ARA863)
CAT.NO. : ARA6689
RMB Please choose
RMB Please choose
Size:
Trail, Bulk size or Custom requests Please contact us
*产品价格可能会有所调整,请以品牌方官网实时更新的价格为准,以确保准确性。
Background
The heat shock proteins (HSPs) comprise a group of highly conserved, abundantly expressed proteins with diverse functions, including the assembly and sequestering of multiprotein complexes, transport of nascent poly - peptide chains across cellular membranes and regulation of protein folding. Heat shock proteins (also known as molecular chaperones) fall into six general families: HSP 90, HSP 70, HSP 60, the low molecular weight HSPs, the immunophilins and the HSP 110 family. The low molecular weight family includes HSP 10, HSP 20, HSP 27, HSP 32 and HSP 40. HSP 27 is a constitutively expressed cytoplasmic protein that localizes to the nucleus upon stress induced by insult. Heat, cytokines and hormones are among the factors that stimulate the synthesis of HSP 27. In vitro, HSP 27 becomes highly phosphorylated following exposure to stress. The discovery that HSP 27 is regulated by hormones such as estrogen has led to studies establishing a relationship between HSP 27 and breast cancer.
Application
|
Application |
Dilution Ratio |
|
IHC-P |
1:50-1:200 |
Overview
|
Antibody Type |
Recombinant Rabbit monoclonal Antibody |
|
Immunogen |
Synthetic peptide within Human Hsp27 aa 127-176 / 205 |
|
Species Reactivity |
Human (Predicted: Mouse, Rat) |
|
Validated Applications |
WB, IF-Cell, IF-Tissue, IHC-R, IP, FC |
|
Molecular Weight |
Predicted band size: 23 kDa |
|
Positive Control |
HeLa cell lysate, A549 cell lysate, Jurkat cell lysate, HeLa, HepG2, human tonsil tissue, human colon carcinoma tissue, human breast carcinoma tissue |
|
Conjugation |
unconjugated |
|
RRID |
AB_3070235 |
|
Form |
Liquid |
|
Concentration |
1μg/ul |
|
Storage Buffer |
1*TBS (pH7.4), 0.05% BSA, 40% Glycerol, Preservative: 0.05% Sodium Azide |
|
Isotype |
IgG |
|
Purification Method |
Protein A affinity purified |
Data

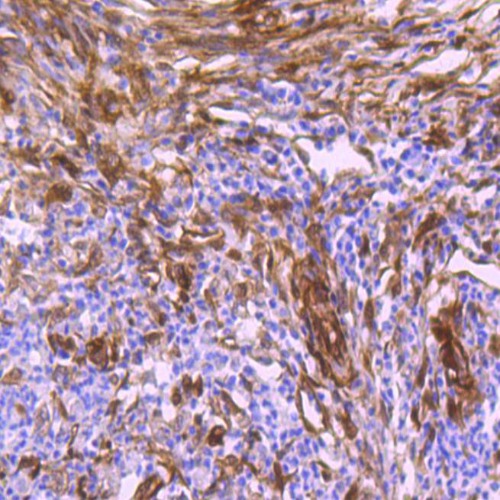
Immunohistochemical analysis of paraffin-embedded human tonsil tissue using with Hsp27 Rabbit Monoclonal Antibody(ARA863)

Immunohistochemical analysis of paraffin-embedded human colon carcinoma tissue using with Hsp27 Rabbit Monoclonal Antibody(ARA863)
Storage
Store at 4°C short term. For long term storage, store at -20°C, avoiding freeze/thaw cycles.
Research Use Only
For Research Use Only. Not for use in diagnostic procedures.
New Products
