Inhibin beta B Rabbit Polyclonal Antibody
CAT.NO. : ARA6822
RMB Please choose
RMB Please choose
Background
The inhibin beta B subunit joins the alpha subunit to form a pituitary FSH secretion inhibitor. Inhibin has been shown to regulate gonadal stromal cell proliferation negatively and to have tumour-suppressor activity. In addition, serum levels of inhibin have been shown to reflect the size of granulosa-cell tumors and can therefore be used as a marker for primary as well as recurrent disease. Because expression in gonadal and various extragonadal tissues may vary severalfold in a tissue-specific fashion, it is proposed that inhibin may be both a growth/differentiation factor and a hormone. Furthermore, the beta B subunit forms a homodimer, activin B, and also joins with the beta A subunit to form a heterodimer, activin AB, both of which stimulate FSH secretion.
Application
|
Application |
Dilution Ratio |
|
WB |
1:500 - 1:1000 |
|
IHC |
1:50 - 1:100 |
Overview
|
Immunogen |
KLH-conjugated synthetic peptide encompassing a sequence within the C-term region of human Inhibin beta B. The exact sequence is proprietary |
|
Purification Method |
The antibody was purified by immunogen affinity chromatography |
|
Clonality |
Polyclonal |
|
Form |
Liquid in 0.42% Potassium phosphate, 0.87% Sodium chloride, pH 7.3, 30% glycerol, and 0.01% sodium azide |
|
Gene Name |
INHBB |
|
Synonyms |
Inhibin beta B chain; Activin beta-B chain |
|
Gene ID (Human) |
3625 |
|
Gene ID (Mouse) |
16324 |
|
Gene ID (Rat) |
25106 |
|
Protein ID (Human) |
P09529 |
|
Protein ID (Mouse) |
Q04999 |
|
Protein ID (Rat) |
P17491 |
Data

Western blot analysis of Inhibin beta B expression in rat heart (A) whole cell lysates. (Predicted band size: 45 kD; Observed band size: 45 kD)

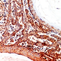
Immunohistochemical analysis of Inhibin beta B staining in human skin formalin fixed paraffin embedded tissue section. The section was pre-treated using heat mediated antigen retrieval with sodium citrate buffer (pH 6.0). The section was then incubated with the antibody at room temperature and detected using an HRP conjugated compact polymer system. DAB was used as the chromogen. The section was then counterstained with haematoxylin and mounted with DPX.
Storage
Store at +4℃ after thawing. Aliquot store at -20℃. Avoid repeated freeze / thaw cycles.
Research Use Only
For Research Use Only. Not for use in diagnostic procedures.
New Products
