INSM1 Rabbit Monoclonal Antibody(ARB848)
CAT.NO. : ARB6638
RMB Please choose
RMB Please choose
Size:
Trail, Bulk size or Custom requests Please contact us
Background
INSM-1 (insulinoma-associated protein 1), also known as zinc-finger protein IA-1, is a developmentally regulated zinc-finger transcription factor. It localizes to the nucleus and is expressed in embryonic tissues undergoing neuroendocrine differentiation. It plays an important role in neuroendocrine development and is required for normal differentiation of pancreatic endocrine cells. Inhibition of INSM-1 results in decreased formation of glucagon and Insulin positive cells.
Overview
| Target | INSM-1 |
| Host Species | rabbit monoclonal antibody |
| Molecular Weight | 53 kDa |
| Purity | ProA affinity purified IgG |
| Species Cross-reactivity | Human |
| Form | Liquid |
| Applications | IHC-P |
| Swissprot ID | Q01101 |
| Immunogen | Proprietary synthetic peptide |
| Storage Buffer | PBS 59%, Sodium azide 0.01%, Glycerol 40%, BSA 0.05% |
| Storage Conditions | -25°C to -18°C |
| Dilutions | IHC-P: 1:100-1:200 |
| Subcellular Location | Nucleus |
| Recommended Method | Heat induced epitope retrieval with Tris-EDTA buffer (pH 9.0), RT for 30 min |
Data

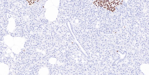
Immunohistochemical staining of human pancreatic tissue sections using INSM1 Rabbit Monoclonal Antibody (ARB848).

Immunohistochemical staining of human small cell neuroendocrine carcinoma tissue sections using INSM1 Rabbit Monoclonal Antibody (ARB848).
Storage
Store at 4°C short term. For long term storage, store at -20°C, avoiding freeze/thaw cycles.
Research Use Only
For Research Use Only. Not for use in diagnostic procedures.
New Products
