Insulin Mouse Monoclonal Antibody(ARM513)
CAT.NO. : ARM6803
RMB Please choose
RMB Please choose
Size:
Trail, Bulk size or Custom requests Please contact us
*产品价格可能会有所调整,请以品牌方官网实时更新的价格为准,以确保准确性。
Background
Insulin is a polypeptide hormone produced by the pancreas in the beta cells of the Islets of Langerhans. Its biological functions include regulating the storage and release of glucose, as well as promoting glycogen storage, triglyceride formation, and protein synthesis. Insulin has been clinically indicated in a number of conditions, including tumours of beta cell origin. The presence of insulin in the cytoplasm of islet cell tumours is indicative of functional insulinomas, while a deficiency of insulin results in diabetes mellitus.
Application
|
Application |
Dilution Ratio |
|
IHC |
1:50 - 1:200 |
Overview
|
Molecular Weight |
11,981 Da |
|
Chromosome Location |
Chromosome: 11; NC_000011.9 (2181009..2182439, complement). Location: 11p15.5 |
|
3D Structure |
ModBase 3D Structure for P01308 |
|
Isotype |
IgG1, kappa |
|
Host |
Mouse |
|
Species Reactivity |
Human |
|
Specificity |
Insulin |
|
Purity/Purification |
Purified |
|
Form/Format |
Tris Buffer, pH 7.3 - 7.7, with 1% BSA and <0.1% Sodium Azide |
|
Immunogen |
Recombinant Protein |
Data

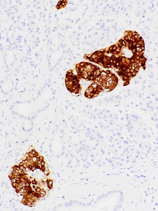
Immunohistochemical staining of human pancreas tissue using Insulin Mouse Monoclonal Antibody (ARM513).
Storage
Store at 4°C short term. For long term storage, store at -20°C, avoiding freeze/thaw cycles.
Research Use Only
For Research Use Only. Not for use in diagnostic procedures.
New Products
