Insulin Rabbit Monoclonal Antibody(ARA985)
CAT.NO. : ARA6867
RMB Please choose
RMB Please choose
Background
Insulin (from Latin insula, 'island') is a peptide hormone produced by beta cells of the pancreatic islets; it is considered to be the main anabolic hormone of the body. It regulates the metabolism of carbohydrates, fats and protein by promoting the absorption of glucose from the blood into liver, fat and skeletal muscle cells. In these tissues the absorbed glucose is converted into either glycogen via glycogenesis or fats (triglycerides) via lipogenesis, or, in the case of the liver, into both. Glucose production and secretion by the liver is strongly inhibited by high concentrations of insulin in the blood. Circulating insulin also affects the synthesis of proteins in a wide variety of tissues. It is therefore an anabolic hormone, promoting the conversion of small molecules in the blood into large molecules inside the cells. Low insulin levels in the blood have the opposite effect by promoting widespread catabolism, especially of reserve body fat.
Application
|
Application |
Dilution Ratio |
|
IF |
1:200 - 1:500 |
|
IHC |
1:15000 - 1:20000 |
|
WB |
1:800 - 1:1000 |
Overview
|
Antibody Type |
Recombinant Rabbit monoclonal Antibody |
|
Immunogen |
Recombinant protein within human Insulin aa 15-110. |
|
Species Reactivity |
Human, Mouse, Rat |
|
Validated Applications |
IF, IHC, WB |
|
Molecular Weight |
Predicted band size: 12 kDa |
|
Positive Control |
Mouse pancreas tissue, human pancreas tissue, rat pancreas tissue, Mouse pancreas tissue lysate, Rat pancreas tissue lysate. |
|
Conjugation |
unconjugated |
|
Form |
Liquid |
|
Storage Buffer |
1×TBS (pH7.4), 0.05% BSA, 40% Glycerol. Preservative: 0.05% Sodium Azide. |
|
Isotype |
IgG |
|
Purification Method |
Protein A affinity purified. |
Data

Western blot analysis of Insulin on different lysates with Insulin Rabbit Monoclonal Antibody(ARA985) at 1/1,000 dilution.

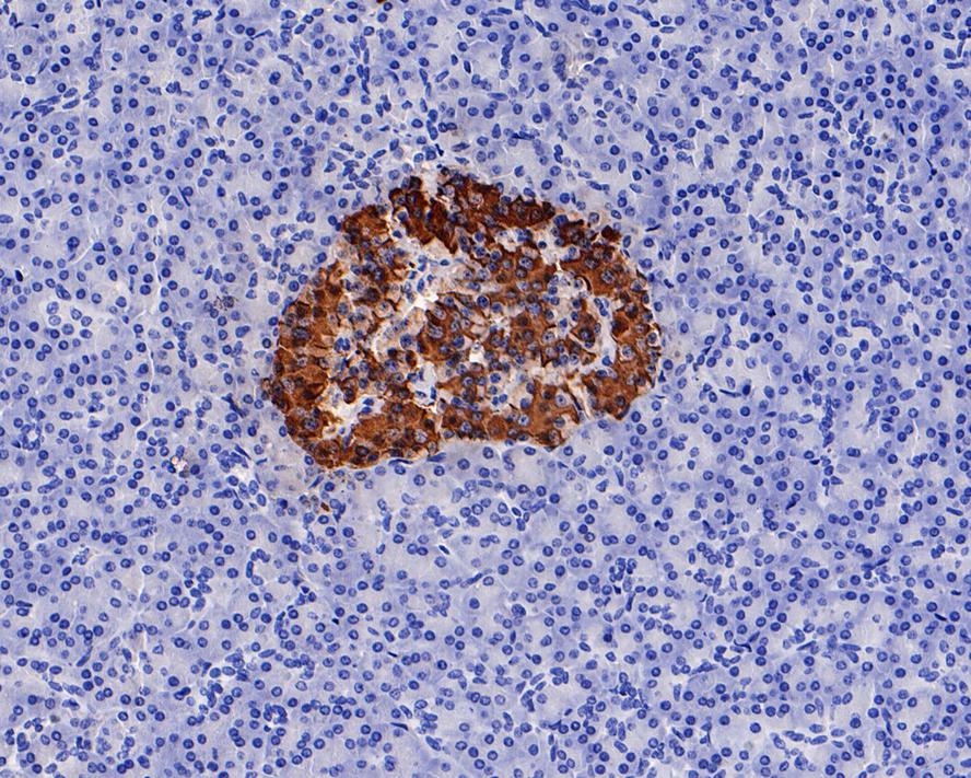
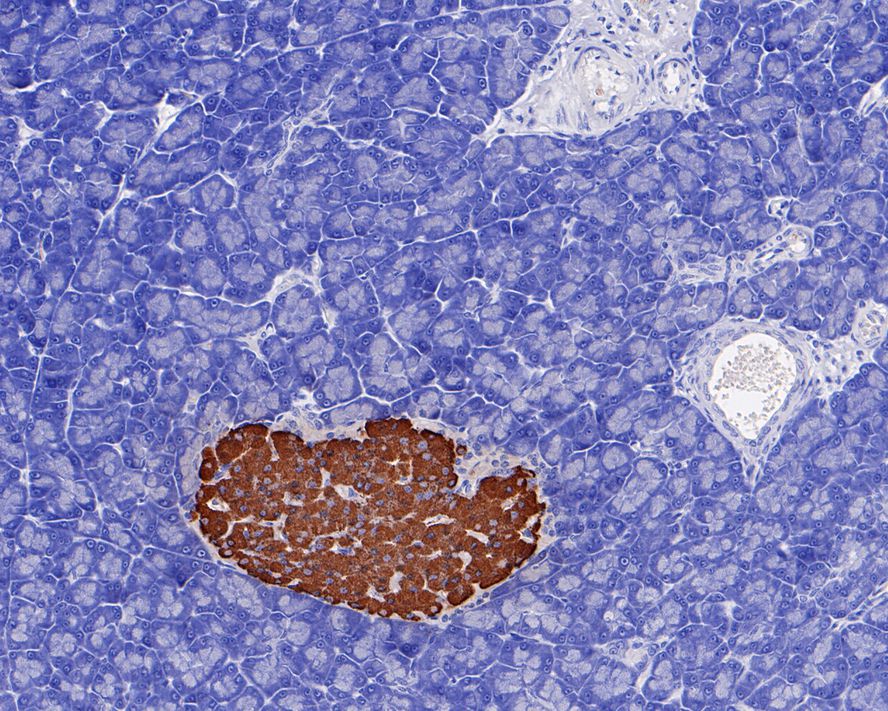
Immunohistochemical analysis of paraffin-embedded rat pancreas tissue with Insulin Rabbit Monoclonal Antibody(ARA985) at 1/20,000 dilution.

Immunohistochemical analysis of paraffin-embedded human pancreas tissue with Insulin Rabbit Monoclonal Antibody(ARA985) at 1/20,000 dilution.

Immunofluorescence analysis of frozen mouse pancreas tissue with Rabbit Insulin Rabbit Monoclonal Antibody(ARA985) at 1/1,000 dilution.
Storage
Store at +4℃ after thawing. Aliquot store at -20℃. Avoid repeated freeze / thaw cycles.
Research Use Only
For Research Use Only. Not for use in diagnostic procedures.
New Products
