Lamin B1 Rabbit Monoclonal Antibody(ARB582)
CAT.NO. : ARB6874
RMB Please choose
RMB Please choose
Size:
Trail, Bulk size or Custom requests Please contact us
*产品价格可能会有所调整,请以品牌方官网实时更新的价格为准,以确保准确性。
Background
Lamin B1 (LMNB1) is a type B nuclear lamina protein encoded by the LMNB1 gene, essential for maintaining nuclear structure, integrity, and functional organization. As a core component of the nuclear envelope, it forms a filamentous meshwork that provides mechanical stability to the nucleus, anchors chromatin to the periphery and regulates nuclear shape. Lamin B1 (LMNB1) is constitutively expressed across most mammalian tissues due to its fundamental role in nuclear structural integrity. It exhibits particularly high expression in epithelium-rich organs (skin, gastrointestinal tract, liver), developing and adult brain (neurons, glia), proliferative tissues (bone marrow, testis, thymus) and glandular organs (pancreas, kidney). Lamin B1 (LMNB1) serves as a clinically relevant biomarker with dual roles in oncogenesis and neurodegeneration. Its overexpression is strongly linked to aggressive malignancies, including hepatocellular carcinoma (HCC), glioblastoma, pancreatic ductal adenocarcinoma (PDAC) and colorectal cancer.
Application
|
Application |
Dilution Ratio |
|
IHC-P |
1:100-1:200 |
Overview
|
Predicted Molecular Wt |
64kDa |
|
Species Cross-reactivity |
Human |
|
Applications |
IHC-P |
|
Purity |
ProA affinity purified IgG |
|
Form |
Liquid |
|
Swissprot ID |
P20700 |
|
Subcellular location |
Nucleus inner membrane |
|
Recommended Method |
Heat induced epitope retrieval with Tris-EDTA buffer (pH 9.0), primary antibody incubate at RT (18℃-25℃) for 30 minutes. |
|
Immunogen |
Synthetic peptide. |
|
Storage Buffer |
PBS 59%, Sodium azide 0.01%, Glycerol 40%, BSA 0.05% |
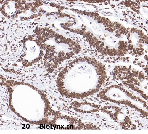
Data

Immunohistochemical staining of human colon cancer using Lamin B1 Rabbit Monoclonal Antibody(ARB582)
Storage
Store at 4°C short term. For long term storage, store at -20°C, avoiding freeze/thaw cycles.
Research Use Only
For Research Use Only. Not for use in diagnostic procedures.
New Products
