LFABP Mouse Monoclonal Antibody(ARM629)
CAT.NO. : ARM6920
US$ Please choose
US$ Please choose
Size:
Trail, Bulk size or Custom requests Please contact us
Background
Liver Fatty Acid Binding Protein (LFABP), also called FABP1, is a 14 kDa protein that comprises 2-11% of the cytosolic protein of normal hepatocytes. It is also expressed in tubular kidney cells, the aveolar epithelium of the lung and intestinal tissue. LFABP is utilized for classification of hepatic adenomas.
Application
|
Application |
Dilution Ratio |
|
IHC |
1:50 - 1:200 |
Overview
|
Gene Name |
LFABP |
|
Host |
Rabbit |
|
Clonality |
Monoclonal |
|
Reactivity |
Human |
|
Immunogen |
Recombinant Protein |
|
Isotype |
IgG |
|
Uniprot Number |
P07148 |
|
Storage Buffer |
Tris Buffer, pH 7.3 - 7.7, with 1% BSA and <0.1% Sodium Azide |
Data

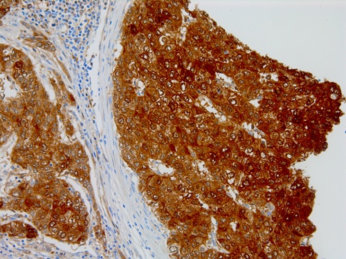
Immunohistochemical staining of human hepatocellular carcinoma tissue sections using LFABP Mouse Monoclonal Antibody (ARM629).
Storage
Store at 4°C short term. For long term storage, store at -20°C, avoiding freeze/thaw cycles.
Research Use Only
For Research Use Only. Not for use in diagnostic procedures.
New Products
