LRP Monoclonal Antibody(ARB598)
CAT.NO. : ARB6892
RMB Please choose
RMB Please choose
Size:
Trail, Bulk size or Custom requests Please contact us
*产品价格可能会有所调整,请以品牌方官网实时更新的价格为准,以确保准确性。
Background
Lung resistance protein (LRP) is a protein with a molecular weight of 104-110 KDa, and also belongs to one of the phenotypes of multidrug resistance (MDR), which mainly generates resistance by participating in the obstruction of intercellular drug transport or by decreasing the effective concentration of the target drug by the entry of the drug into the cytoplasmic vesicles into an atrial segregation. LRP mediates resistance to alkylating agents and platinums, which are not mediated by the P-glycoproteins and MRP and which are all DNA-targeted. It can be expressed in many tumour tissues and positivity predicts insensitivity to chemotherapy and is mainly used in the study of chemotherapeutic agents for various malignancies.
Application
|
Application |
Dilution Ratio |
|
IHC-P |
1:100-1:200 |
Overview
|
Predicted Molecular Wt |
99kDa |
|
Species Cross-reactivity |
Human |
|
Applications |
IHC-P |
|
Purity |
ProA affinity purified IgG |
|
Form |
Liquid |
|
SwissProt ID |
Q14764 |
|
Subcellular location |
Cytoplasm |
|
Recommended Method |
Heat induced epitope retrieval with Tris-EDTA buffer (pH 9.0), primary antibody incubate at RT (18℃-25℃) for 30 minutes. |
|
Immunogen |
Synthetic peptide. |
|
Storage Buffer |
PBS 59%, Sodium azide 0.01%, Glycerol 40%, BSA 0.05% |
Data

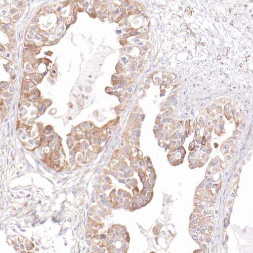
Immunohistochemical staining of endometrial cancer cells using LRP Monoclonal Antibody(ARB598)
Storage
Store at 4°C short term. For long term storage, store at -20°C, avoiding freeze/thaw cycles.
Research Use Only
For Research Use Only. Not for use in diagnostic procedures.
New Products
