LRP1 Rabbit Monoclonal Antibody(ARA839)
CAT.NO. : ARA6654
RMB Please choose
RMB Please choose
Size:
Trail, Bulk size or Custom requests Please contact us
Background
LRP1 is a member of the LDLR family and ubiquitously expressed in multiple tissues, though it is most abundant in vascular smooth muscle cells (SMCs), hepatocytes, and neurons. LRP1 plays a key role in intracellular signaling and endocytosis, which thus implicate it in many cellular and biological processes, including lipid and lipoprotein metabolism, protease degradation, platelet derived growth factor receptor regulation, integrin maturation and recycling, regulation of vascular tone, regulation of blood brain barrier permeability, cell growth, cell migration, inflammation, and apoptosis, as well as diseases such as neurodegenerative diseases, atherosclerosis, and cancer. The LRP1 gene encodes a 600 kDa precursor protein that is processed by furin in the trans-Golgi complex, resulting in a 515 kDa alpha-chain and an 85 kDa beta-chain associated noncovalently.
Overview
|
Product Name |
LRP1 Recombinant Rabbit Monoclonal Antibody |
|
Antibody Type |
Recombinant Rabbit monoclonal Antibody |
|
Immunogen |
Synthetic peptide within Human LRP1 aa 4417-4502 /4544. |
|
Species Reactivity |
Human, Mouse, Rat |
|
Validated Applications |
WB, IF-Tissue, IHC-P, IP, IHC-Fr |
|
Molecular Weight |
Predicted band size: 505 kDa |
|
Positive Control |
Mouse liver tissue lysate, Human lung tissue lysate, Rat liver tissue lysate, Rat lung tissue lysate, Mouse lung tissue lysate, Human liver tissue lysate, mouse brain tissue, rat brain tissue, rat liver tissue, human lung tissue, human liver tissue, mouse liver tissue. |
|
Conjugation |
unconjugated |
Application
|
Application |
Dilution Ratio / Usage |
|
WB |
1:1,000-1:5,000 |
|
IF-Tissue |
1-25:1:50 |
|
IHC-P |
1:200-1:2,000 |
|
IP |
1-4µg/sample |
Data

Immunohistochemical analysis of paraffin-embedded mouse brain tissue with Rabbit anti-LRP1 antibody (ARA839) at 1/2,000 dilution.

Immunohistochemical analysis of paraffin-embedded rat brain tissue with Rabbit anti-LRP1 antibody (ARA839) at 1/2,000 dilution.

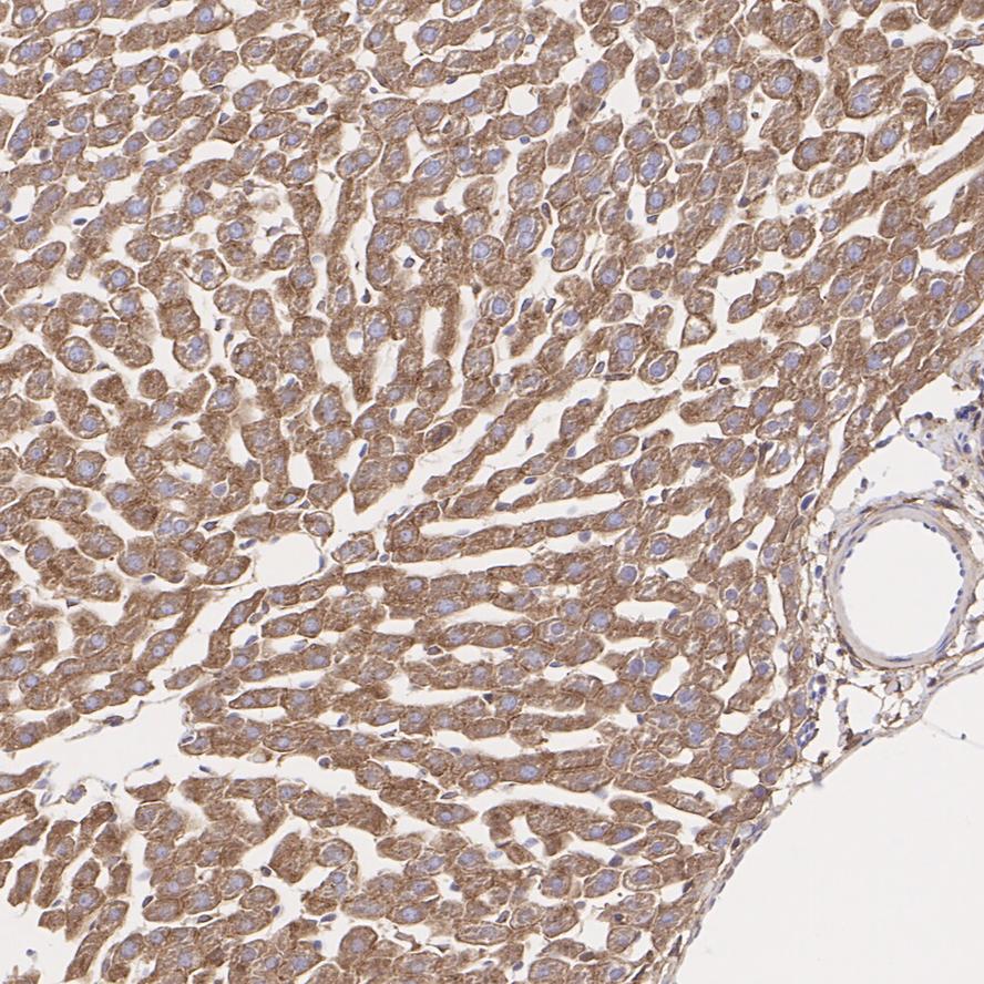
Immunohistochemical analysis of paraffin-embedded rat liver tissue with Rabbit anti-LRP1 antibody (ARA839) at 1/5,000 dilution.

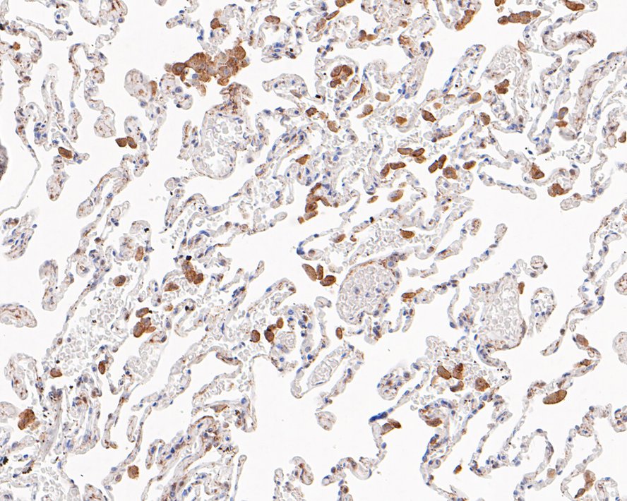
Immunohistochemical analysis of paraffin-embedded human lung tissue with Rabbit anti-LRP1 antibody (ARA839) at 1/200 dilution.

Immunohistochemical analysis of paraffin-embedded human liver tissue with Rabbit anti-LRP1 antibody
(ARA839) at 1/2,000 dilution.

Immunohistochemical analysis of paraffin-embedded mouse liver tissue with Rabbit anti-LRP1 antibody (ARA839) at 1/200 dilution.
Storage
Store at 4°C short term. For long term storage, store at -20°C, avoiding freeze/thaw cycles.
Research Use Only
For Research Use Only. Not for use in diagnostic procedures.
New Products
