MLH1 Rabbit Monoclonal Antibody(ARA726)
|
Application |
Dilution Ratio |
|
WB |
1:200-1:2000 |
|
IHC-P |
1:200-1:1000 |
|
Antibody Type |
Recombinant Rabbit monoclonal Antibody |
|
Immunogen |
Synthetic peptide corresponding to Human MLH1 aa 700-756. |
|
Species Reactivity |
Human, Mouse, Rat |
|
Validated Applications |
WB, IHC-P |
|
Molecular Weight |
Predicted band size: 85 kDa |
|
Positive Control |
HeLa cell lysate, HCT 116 cell lysate, A549 cell lysate, C2C12 cell lysate, NIH/3T3 cell lysate, human appendix tissue, human colon tissue, human B-cell lymphoblastic lymphoma tissue, human NKT cell lymphoma tissue, mouse testis tissue, mouse thymus tissue, human colon carcinoma tissue, rat small intestine tissue. |
|
Conjugation |
unconjugated |
|
Form |
Liquid |
|
Storage Buffer |
PBS (pH7.4), 0.1% BSA, 40% Glycerol. Preservative: 0.05% Sodium Azide. |
|
Isotype |
IgG |
|
Purification Method |
Protein A affinity purified. |

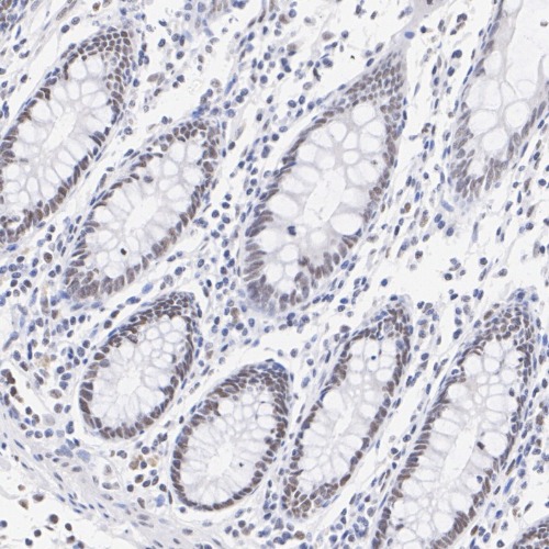
Immunohistochemical staining of human colon tissue sections using MLH1 Rabbit Monoclonal Antibody (ARA726).

Immunohistochemical staining of human B-cell lymphoblastic lymphoma tissue using MLH1 Rabbit Monoclonal Antibody (ARA726).
New Products
