MSH2 Mouse Monoclonal Antibody(ARM527)
CAT.NO. : ARM6817
RMB Please choose
RMB Please choose
Size:
Trail, Bulk size or Custom requests Please contact us
*产品价格可能会有所调整,请以品牌方官网实时更新的价格为准,以确保准确性。
Background
MutS Homolog 2 (MSH2) is a protein involved in the mismatch-repair pathway. This protein is commonly associated with hereditary non-polyposis colorectal cancer, and mutations in this gene are correlated with the development of sporadic colorectal carcinoma. Expression levels of MSH2 are abnormally low in a high percentage of patients with microsatellite instability, as well as endometrial and ovarian cancers. Use of Anti-MSH2 is optimized when paired in an IHC panel with antibodies against MSH6, MLH1, and PMS2. Reports have shown Anti-MSH2 to be useful in the detection of the protein in a number of normal and neoplastic tissues, and for identifying a loss of MSH2 in tumours that are microsatellite-unstable.
Application
|
Application |
Dilution Ratio |
|
IHC |
1:50 - 1:200 |
Overview
|
ISOTYPE |
IgG1, kappa |
|
HOST SPECIES |
Mouse |
|
POSITIVE CONTROL |
Colon Carcinoma |
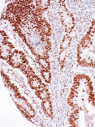
Data

Immunohistochemical staining of human colon cancer tissue using MSH2 Mouse Monoclonal Antibody (ARM527).
Storage
Store at 4°C short term. For long term storage, store at -20°C, avoiding freeze/thaw cycles.
Research Use Only
For Research Use Only. Not for use in diagnostic procedures.
New Products
