PLA2G1B Rabbit Polyclonal Antibody
CAT.NO. : ARA6891
RMB Please choose
RMB Please choose
Background
Phospholipase A2 catalyzes the release of fatty acids from glycero-3-phosphocholines. The best known varieties are the digestive enzymes secreted as zymogens by the pancreas of mammals. Sequences of pancreatic PLA2 enzymes from a variety of mammals have been reported. One striking feature of these enzymes is their close homology to venom phospholipases of snakes. Other forms of PLA2 have been isolated from brain, liver, lung, spleen, intestine, macrophages, leukocytes, erythrocytes, inflammatory exudates, chondrocytes, and platelets.
Application
|
Application |
Dilution Ratio |
|
WB |
1:500 - 1:1000 |
|
IHC |
1:50 - 1:200 |
Overview
|
Product Description |
Rabbit polyclonal antibody to PLA2G1B |
|
Immunogen |
Recombinant fusion protein of human PLA2G1B. The exact sequence is proprietary. |
|
Purification Method |
The antibody was purified by immunogen affinity chromatography. |
|
Clonality |
Polyclonal |
|
Product Form |
Liquid in 0.42% Potassium phosphate, 0.87% Sodium chloride, pH 7.3, 30% glycerol, and 0.01% sodium azide. |
|
Gene Name |
PLA2G1B |
|
Alternative Names |
PLA2; PLA2A; PPLA2; Phospholipase A2; Group IB phospholipase A2; Phosphatidylcholine 2-acylhydrolase 1B |
|
Human Gene ID |
5319 |
|
Mouse Gene ID |
18778 |
|
Human Protein ID |
P04054 |
|
Mouse Protein ID |
Q3ZOY2 |
Data

Western blot analysis of PLA2G1B expression in A549 (A), mouse pancreas (B) whole cell lysates. (Predicted band size: 16 kD; Observed band size: 15 kD)

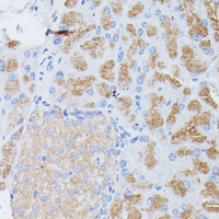
Immunohistochemical analysis of PLA2G1B staining in mouse pancreas formalin fixed paraffin embedded tissue section. The section was pre-treated using heat mediated antigen retrieval with sodium citrate buffer (pH 6.0). The section was then incubated with the antibody at room temperature and detected using an HRP conjugated compact polymer system. DAB was used as the chromogen. The section was then counterstained with haematoxylin and mounted with DPX.
Storage
Store at +4℃ after thawing. Aliquot store at -20℃. Avoid repeated freeze / thaw cycles.
Research Use Only
For Research Use Only. Not for use in diagnostic procedures.
New Products
