Podoplanin Mouse Monoclonal Antibody(ARM915)
CAT.NO. : ARM6705
RMB Please choose
RMB Please choose
*产品价格可能会有所调整,请以品牌方官网实时更新的价格为准,以确保准确性。
Background
Podoplanin is a transmembrane mucoprotein specifically expressed in the endothelium of lymphatic capillaries, while remaining absent from the blood vasculature. The protein is co - localized with VEGFR3/FLT4 in normal skin and kidney. Anti - Podoplanin is useful in the identification of lymphangiomas, Kaposi’s sarcomas, epithelioid mesotheliomas, hemangioblastomas, seminomas, and some angiosarcomas that likely have lymphatic differentiation.
Application
|
Application |
Dilution Ratio |
|
IHC |
1:50 - 1:200 |
Overview
|
Clonality |
Monoclonal |
|
Host |
Mouse |
|
Species Reactivity |
Human |
|
Form/Format |
Tris Buffer, pH 7.3 - 7.7, with 1% BSA and <0.1% Sodium Azide |
|
Conjugation |
Unconjugated |
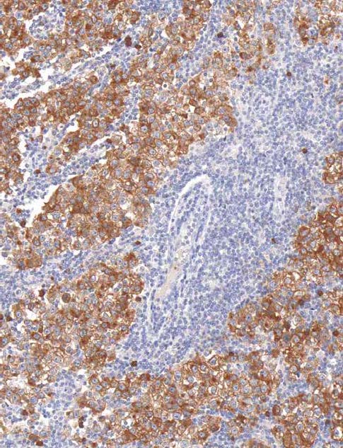
Data

Immunohistochemistry (Formalin/PFA-fixed paraffin-embedded sections) analysis of Testicular Cancer sections labeling Podoplanin with ARM915.
Storage
Store at 4°C short term. For long term storage, store at -20°C, avoiding freeze/thaw cycles.
Research Use Only
For Research Use Only. Not for use in diagnostic procedures.
New Products
