POU2F3 Rabbit Polyclonal Antibody
CAT.NO. : ARA6864
RMB Please choose
RMB Please choose
*产品价格可能会有所调整,请以品牌方官网实时更新的价格为准,以确保准确性。
Background
This gene encodes a member of the POU domain family of transcription factors. POU domain transcription factors bind to a specific octamer DNA motif and regulate cell type-specific differentiation pathways. The encoded protein is primarily expressed in the epidermis, and plays a critical role in keratinocyte proliferation and differentiation. The encoded protein is also a candidate tumor suppressor protein, and aberrant promoter methylation of this gene may play a role in cervical cancer. Alternatively spliced transcript variants encoding multiple isoforms have been observed for this gene.
Application
|
Application |
Dilution Ratio |
|
WB |
1:500 - 1:1000 |
|
IHC |
1:50 - 1:200 |
Overview
|
Immunogen |
KLH-conjugated synthetic peptide encompassing a sequence within the center region of human POU2F3. The exact sequence is proprietary. |
|
Purification Method |
The antibody was purified by immunogen affinity chromatography. |
|
Clonality |
Polyclonal |
|
Product Form |
Liquid in 0.42% Potassium phosphate, 0.87% Sodium chloride, pH 7.3, 30% glycerol, and 0.01% sodium azide. |
|
Gene Name |
POU2F3 |
|
Alternative Names |
OTF11; PLA1; POU domain, class 2, transcription factor 3; Octamer-binding protein 11; Oct-11; Octamer-binding transcription factor 11; OTF-11; Transcription factor PLA-1; Transcription factor Skn-1 |
|
Human Gene ID |
25833 |
|
Human Protein ID |
Q9UKI9 |
|
Mouse Protein ID |
P31362 |
|
Rat Protein ID |
P42571 |
Data

Western blot analysis of POU2F3 expression in VEC (A) whole cell lysates. (Predicted band size: 47 kD; Observed band size: 47 kD)

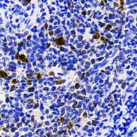
Immunohistochemical analysis of POU2F3 staining in human tonsil formalin fixed paraffin embedded tissue section. The section was pre-treated using heat mediated antigen retrieval with sodium citrate buffer (pH 6.0). The section was then incubated with the antibody at room temperature and detected using an HRP conjugated compact polymer system. DAB was used as the chromogen. The section was then counterstained with haematoxylin and mounted with DPX.
Storage
Store at 4°C short term. For long term storage, store at -20°C, avoiding freeze/thaw cycles.
Research Use Only
For Research Use Only. Not for use in diagnostic procedures.
New Products
