Prohibitin Rabbit Monoclonal Antibody(ARA729)
|
Application |
Dilution Ratio |
|
WB |
1:500 - 1:1000 |
|
IF/ICC |
1:100 - 1:1000 |
|
IHC |
1:200 - 1:1000 |
|
IP |
1-2μg/sample |
|
FC |
1:800 - 1:1000 |
|
Antibody Type |
Recombinant Rabbit monoclonal Antibody |
|
Immunogen |
Synthetic peptide within Human Prohibitin aa 147-196 / 272. |
|
Species Reactivity |
Human, Mouse, Rat |
|
Validated Applications |
WB, IF/ICC, IHC, IP, FC |
|
Molecular Weight |
Predicted band size: 30 kDa |
|
Positive Control |
HEK-293 cell lysate, NIH/3T3 cell lysate, PC-12 cell lysate, Mouse kidney tissue lysate, Rat brain tissue lysate, Rat kidney tissue lysate, hybrid fish (crucian-carp) liver tissue lysates, HepG2, PC-12, NIH/3T3, human liver carcinoma tissue, human kidney tissue, mouse liver tissue, mouse kidney tissue, mouse stomach tissue, mouse heart tissue, human liver tissue. |
|
Conjugation |
unconjugated |
|
Form |
Liquid |
|
Storage Buffer |
1×TBS (pH7.4), 0.05% BSA, 40% Glycerol. Preservative: 0.05% Sodium Azide. |
|
Isotype |
IgG |
|
Purification Method |
Protein A affinity purified. |

Western blot analysis of Prohibitin on different lysates with Prohibitin Rabbit Monoclonal Antibody(ARA729).

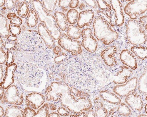
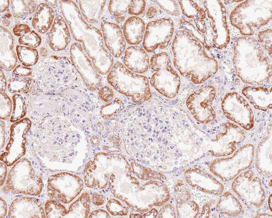
Immunohistochemical analysis of paraffin-embedded human kidney tissue with Prohibitin Rabbit Monoclonal Antibody(ARA729).

Prohibitin was immunoprecipitated from 0.2 mg HEK-293 cell lysate with Prohibitin Rabbit Monoclonal Antibody(ARA729).
New Products
