SMAD2/3 (Phospho-T8) Rabbit Polyclonal Antibody
|
Application |
Dilution Ratio |
|
WB |
1:500 - 1:2,000 |
|
IHC |
1:50 - 1:100 |
|
Purification Method |
The antibody was purified by immunogen affinity chromatography |
|
Clonality |
Polyclonal |
|
Form |
Liquid in 0.42% Potassium phosphate, 0.87% Sodium chloride, pH 7.3, 30% glycerol, and 0.01% sodium azide |
|
Gene Name |
SMAD2; SMAD3 |
|
Synonyms |
SMAD2; MADH2; MADR2; Mothers against decapentaplegic homolog 2; MAD homolog 2; Mothers against DPP homolog 2; JV18-1; Mad-related protein 2; hMAD-2; SMAD family member 2; SMAD 2; Smad2; hSMAD2; SMAD3; MADH3; Mothers against decapentaplegic homolog 3; MAD homolog 3; Mad3; Mothers against DPP homolog 3; hMAD-3; JV15-2; SMAD family member 3; SMAD 3; Smad3; hSMAD3 |
|
Gene ID (Human) |
4087; 4088 |
|
Gene ID (Mouse) |
17126; 17127 |
|
Gene ID (Rat) |
29357; 25631 |
|
Protein ID (Human) |
Q15796; P84022 |
|
Protein ID (Mouse) |
Q62432; Q8BUN5 |

Western blot analysis of SMAD2/3 (Phospho-T8) expression in HEK293T (A), A375 (B), H460 (C), rat muscle (D), rat heart (E) whole cell lysates. (Predicted band size: 52; 48 kD; Observed band size: 60 kD)

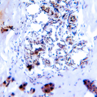
Immunohistochemical analysis of SMAD2/3 (Phospho-T8) staining in human breast cancer formalin fixed paraffin embedded tissue section. The section was pre-treated using heat mediated antigen retrieval with sodium citrate buffer (pH 6.0). The section was then incubated with the antibody at room temperature and detected using an HRP conjugated compact polymer system. DAB was used as the chromogen. The section was then counterstained with haematoxylin and mounted with DPX.
New Products
