SOX-11 Mouse Monoclonal Antibody(ARM566)
CAT.NO. : ARM6856
RMB Please choose
RMB Please choose
Size:
Trail, Bulk size or Custom requests Please contact us
*产品价格可能会有所调整,请以品牌方官网实时更新的价格为准,以确保准确性。
Background
SRY (Sex Determining Region Y)-Box 11 (SOX11), also known as Transcription Factor SOX11, is a nuclear transcription factor that acts in regulation of embryonic development, cell differentiation, and the development of the human central nervous system. SOX11 is expressed in medulloblastoma and glioma, and has been indicated as a marker for both Cyclin D1-positive and -negative mantle cell lymphomas, Burkitt’s lymphoma, and lymphoblastic lymphoma.
Application
|
Application |
Dilution Ratio |
|
IHC |
1:50 - 1:200 |
Overview
|
Molecular Weight |
46679 MW |
|
3D Structure |
ModBase 3D Structure for P35716 |
|
Isotype |
IgG1 |
|
Host |
Mouse |
|
Species Reactivity |
Human |
|
Purity/Purification |
Purified |
|
Form/Format |
Tris Buffer, pH 7.3 - 7.7, with 1% BSA and <0.1% Sodium Azide |
|
Immunogen |
Recombinant Protein |
Data

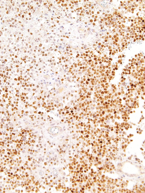
Immunohistochemical staining of human mantle cell lymphoma tissue sections using SOX-11 Mouse Monoclonal Antibody (ARM566).
Storage
Store at 4°C short term. For long term storage, store at -20°C, avoiding freeze/thaw cycles.
Research Use Only
For Research Use Only. Not for use in diagnostic procedures.
New Products
