SOX9 Rabbit Monoclonal Antibody(ARA829)
|
Application |
Dilution Ratio |
|
IHC-P |
1:200-1:1000 |
|
Antibody Type |
Recombinant Rabbit monoclonal Antibody |
|
Immunogen |
Recombinant protein within human SOX9 aa 140-340 |
|
Species Reactivity |
Human, Mouse, Rat (Predicted: Cynomolgus monkey, Pig) |
|
Validated Applications |
WB, IF-Cell, IHC-P, IP, FC, CUT&Tag-seq, mIHC |
|
Molecular Weight |
Predicted band size: 56 kDa |
|
Positive Control |
SW480 cell lysate, MDA-MB-231 cell lysate, PANC-1 cell lysate, NIH/3T3 cell lysate, MDA-MB-231, human tonsil tissue, human breast carcinoma tissue, mouse liver tissue, human colon tissue, human thyroid tissue, human breast tissue, human small intestine tissue, human prostate carcinoma tissue, human stomach carcinoma tissue, human lung carcinoma tissue, rat colon tissue |
|
Conjugation |
unconjugated |
|
Form |
Liquid |
|
Storage Buffer |
1*TBS (pH7.4), 0.05% BSA, 40% Glycerol. Preservative: 0.05% Sodium Azide |
|
Isotype |
IgG |
|
Purification Method |
Protein A affinity purified |

Immunohistochemical staining of human tonsil tissue sections using SOX9 Rabbit Monoclonal Antibody (ARA829).

Immunohistochemical staining of human breast carcinoma tissue sections using SOX9 Rabbit Monoclonal Antibody (ARA829).

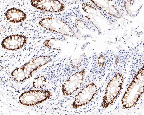
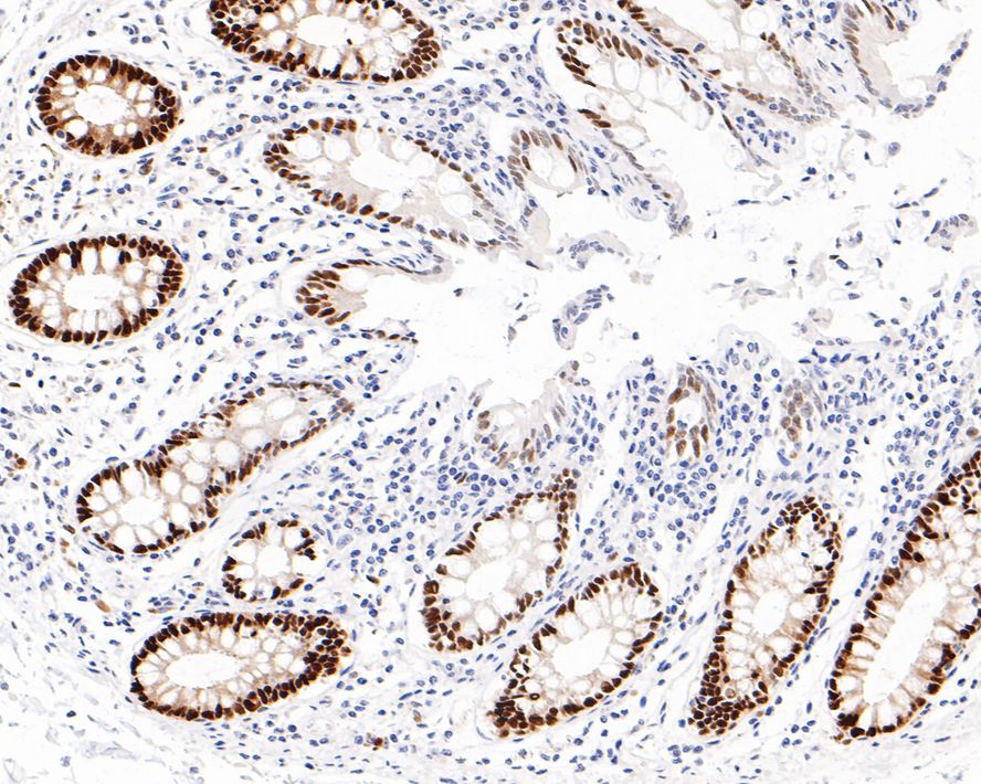
Immunohistochemical staining of human colon tissue sections using SOX9 Rabbit Monoclonal Antibody (ARA829).

Immunohistochemical staining of human prostate carcinoma tissue sections using SOX9 Rabbit Monoclonal Antibody (ARA829).
New Products
