TAG-72 Mouse Monoclonal Antibody(ARM572)
CAT.NO. : ARM6862
RMB Please choose
RMB Please choose
Size:
Trail, Bulk size or Custom requests Please contact us
*产品价格可能会有所调整,请以品牌方官网实时更新的价格为准,以确保准确性。
Background
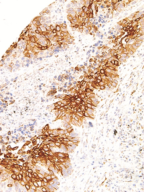
Tumour-Associated Glycoprotein 72 (TAG-72) is a glycoprotein found on the surface of many cancer pathologies. Anti-TAG-72 can be useful for detecting some adenocarcinomas and non-neoplastic tissues. This diagnostic grade TAG-72 IVD antibody is useful for identifying adenocarcinomas in positive staining, but in mesotheliomas no staining is observed.
Application
|
Application |
Dilution Ratio |
|
IHC |
1:100 - 1:400 |
Overview
|
Molecular Weight |
38,260 Da |
|
Isotype |
IgG |
|
Host |
Mouse |
|
Species Reactivity |
Human |
|
Form/Format |
Liquid |
|
Buffer |
Tris Buffer, ph7.4, 1% BSA, <0.1% NaN3 |
|
IHC Positive Control |
Lung Adenocarcinoma |
Data

Immunohistochemical staining of human lung tissue sections using TAG-72 Mouse Monoclonal Antibody (ARM572).
Storage
Store at 4°C short term. For long term storage, store at -20°C, avoiding freeze/thaw cycles.
Research Use Only
For Research Use Only. Not for use in diagnostic procedures.
New Products
