TGF beta 1 Rabbit Polyclonal Antibody
CAT.NO. : ARA6481
RMB Please choose
RMB Please choose
*产品价格可能会有所调整,请以品牌方官网实时更新的价格为准,以确保准确性。
Background
Transforming growth factor beta 1 or TGF-β1 is a polypeptide member of the transforming growth factor beta superfamily of cytokines. It is a secreted protein that performs many cellular functions, including the control of cell growth, cell proliferation, cell differentiation, and apoptosis. In humans, TGF-β1 is encoded by the TGFB1 gene. TGF-β is a multifunctional set of peptides that controls proliferation, differentiation, and other functions in many cell types. TGF-β acts synergistically with transforming growth factor-alpha (TGF-α) in inducing transformation. It also acts as a negative autocrine growth factor. Dysregulation of TGF-β activation and signaling may result in apoptosis. Many cells synthesize TGF-β and almost all of them have specific receptors for this peptide. TGF-β1, TGF-β2, and TGF-β3 all function through the same receptor signaling systems. TGF-β1 was first identified in human platelets as a protein with a molecular mass of 25 kilodaltons with a potential role in wound healing. It was later characterized as a large protein precursor (containing 390 amino acids) that was proteolytically processed to produce a mature peptide of 112 amino acids. TGF-β1 plays an important role in controlling the immune system, and shows different activities on different types of cell, or cells at different developmental stages. Most immune cells (or leukocytes) secrete TGF-β1.
Application
|
Application |
Dilution Ratio |
|
WB |
1:500 - 1:1000 |
|
IHC |
1:50 - 1:100 |
|
ICC/IF |
1:50 - 1:200 |
Overview
|
Immunogen |
KLH-conjugated synthetic peptide encompassing a sequence within the C-term region of human TGF beta 1. The exact sequence is proprietary. |
|
Purification Method |
The antibody was purified by immunogen affinity chromatography. |
|
Clonality |
Polyclonal |
|
Product Form |
Liquid in 0.42% Potassium phosphate, 0.87% Sodium chloride, pH 7.3, 30% glycerol, and 0.01% sodium azide. |
|
Gene Name |
TGFB1 |
|
Alternative Names |
TGFB; Transforming growth factor beta-1; TGF-beta-1 |
|
Human Gene ID |
7040 |
|
Mouse Gene ID |
21803 |
|
Rat Gene ID |
59086 |
|
Human Protein ID |
P01137 |
|
Mouse Protein ID |
P04202 |
|
Rat Protein ID |
P17246 |
Data

Western blot analysis of TGF beta 1 expression in Hela (A), Myla2059 (B), SGC7901 (C) whole cell lysates. (Predicted band size: 44 kD; Observed band size: 44 kD)

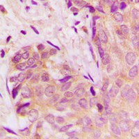
Immunohistochemical analysis of TGF beta 1 staining in human breast cancer formalin fixed paraffin embedded tissue section. The section was pre-treated using heat mediated antigen retrieval with sodium citrate buffer (pH 6.0). The section was then incubated with the antibody at room temperature and detected using an HRP conjugated compact polymer system. DAB was used as the chromogen. The section was then counterstained with haematoxylin and mounted with DPX.

Immunofluorescent analysis of TGF beta 1 staining in MCF7 cells. Formalin-fixed cells were permeabilized with 0.1% Triton X-100 in TBS for 5-10 minutes and blocked with 3% BSA-PBS for 30 minutes at room temperature. Cells were probed with the primary antibody in 3% BSA-PBS and incubated overnight at 4 °C in a humidified chamber. Cells were washed with PBST and incubated with a DyLight 594-conjugated secondary antibody (red) in PBS at room temperature in the dark. DAPI was used to stain the cell nuclei (blue).
Storage
Store at 4°C short term. For long term storage, store at -20°C, avoiding freeze/thaw cycles.
Research Use Only
For Research Use Only. Not for use in diagnostic procedures.
New Products
