Thyroglobulin Mouse Monoclonal Antibody(ARM577)
CAT.NO. : ARM6867
RMB Please choose
RMB Please choose
Size:
Trail, Bulk size or Custom requests Please contact us
*产品价格可能会有所调整,请以品牌方官网实时更新的价格为准,以确保准确性。
Background
Thyroglobulin is a precursor to the thyroid hormones T4 and T3, and is present in the thyroid follicular cells. Nearly all thyroid follicular carcinomas stain for thyroglobulin and sometimes produce a focal staining pattern. Conversely, poorly differentiated carcinomas and non-thyroid adenocarcinomas do not stain for thyroglobulin, therefore Anti-Thyroglobulin is a useful diagnostic tool for recognizing papillary and follicular thyroid carcinomas. A panel of Anti-Thyroglobulin and Anti-Calcitonin is useful for identifying medullary thyroid carcinomas, whereas a panel of Anti-Thyroglobulin and Anti-TTF1 is useful for distinguishing between primary thyroid and lung neoplasms.
Application
|
Application |
Dilution Ratio |
|
IHC |
1:100 - 1:400 |
Overview
|
Molecular Weight |
298,383 Da |
|
3D Structure |
ModBase 3D Structure for P01266 |
|
Isotype |
IgG |
|
Host |
Mouse |
|
Species Reactivity |
Human |
|
Form/Format |
Liquid |
|
Buffer |
Tris Buffer, ph7.4, 1% BSA, <0.1% NaN3 |
|
IHC Positive Control |
Thyroid |
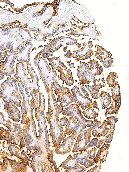
Data

Immunohistochemical staining of human thyroid cancer tissue using Thyroglobulin Mouse Monoclonal Antibody (ARM577).
Storage
Store at -20°C. Stable for one year from the date of shipment.
Research Use Only
For Research Use Only. Not for use in diagnostic procedures.
New Products
