TOP2A Mouse Monoclonal Antibody(ARM581)
CAT.NO. : ARM6871
RMB Please choose
RMB Please choose
Size:
Trail, Bulk size or Custom requests Please contact us
*产品价格可能会有所调整,请以品牌方官网实时更新的价格为准,以确保准确性。
Background
Topoisomerase II alpha (TOP2A) is a member of a highly conserved group of enzymes that plays important roles in synthesis and transcription of DNA as well as chromosomal segregation during mitosis. The overexpression of TOP2A has been correlated with increased risk of progression in various cancers, and it has been a target for the development of anti-polymerase inhibitors to treat cancer.
Application
|
Application |
Dilution Ratio |
|
IHC |
1:50 - 1:200 |
Overview
|
Clonality |
Monoclonal |
|
Isotype |
IgG1 |
|
Host |
Mouse |
|
Species Reactivity |
Human |
|
Form/Format |
Tris Buffer, pH7.3-7.7, with 1% BSA and <0.1% Sodium Azide |
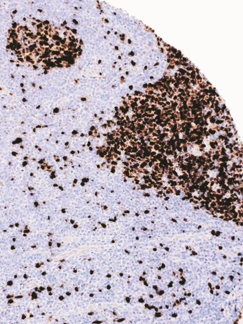
Data

Immunohistochemical staining of human tonsil tissue using TOP2A Mouse Monoclonal Antibody (ARM581).
Storage
Store at -20°C. Stable for one year from the date of shipment.
Research Use Only
For Research Use Only. Not for use in diagnostic procedures.
New Products
