Tpit Mouse Monoclonal Antibody(ARA846)
CAT.NO. : ARA6670
RMB Please choose
RMB Please choose
Size:
Trail, Bulk size or Custom requests Please contact us
*产品价格可能会有所调整,请以品牌方官网实时更新的价格为准,以确保准确性。
Background
Tpit (TBX19, T box 19) is a highly cell-restricted transcription factor belonging to the T-Box family. T box 19 is required for pro-opeiomelanocortin (POMC) gene expression and differentiation of corticotroph and melanotroph cells. Tpit gene mutations have been shown to be directly correlated to pituitary adrenocorticotropin (ACTH) deficiencies. Tpit functions as a transcriptional activator by recruiting the p160 family of coactivators.
Application
|
Application |
Dilution Ratio |
|
IHC-P |
1:1000 - 1:2500 |
Overview
|
Host |
Mouse |
|
Species Reactivity |
Human |
|
Immunogen |
Recombinant fragment corresponding to Human Tpit aa 350 to the C-terminus. Database link: O60806 |
|
Epitope |
Binds to an epitope located within the peptide sequence VLGEPSLTSIAVSTW as determined by overlapping synthetic peptides |
|
Form |
Liquid |
|
Storage Solution |
pH: 7.20; Preservative: 0.02% Sodium azide; Constituents: 40% Glycerol (glycerin, glycerine), PBS |
|
Purity |
Protein A purified |
|
Purification Description |
Purified from TCS |
|
Clone |
Monoclonal |
|
Isotype |
IgG1 |
|
Entrez Gene |
9095 (Human) |
|
Omim |
604614 (Human) |
|
SwissProt |
O60806 (Human) |
Data

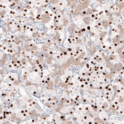
Formalin-fixed, paraffin-embedded human pituitary gland tissue stained for Tpit at a 1:1000 dilution in immunohistochemical analysis.

Negative control - Formalin-fixed, paraffin-embedded human tonsil tissue stained for Tpit at a 1:1000 dilution in immunohistochemical analysis.
Storage
Store at 4°C short term. For long term storage, store at -20°C, avoiding freeze/thaw cycles.
Research Use Only
For Research Use Only. Not for use in diagnostic procedures.
New Products
