Uroplakin II Monoclonal Antibody(ARB600)
CAT.NO. : ARB6894
RMB Please choose
RMB Please choose
Size:
Trail, Bulk size or Custom requests Please contact us
*产品价格可能会有所调整,请以品牌方官网实时更新的价格为准,以确保准确性。
Background
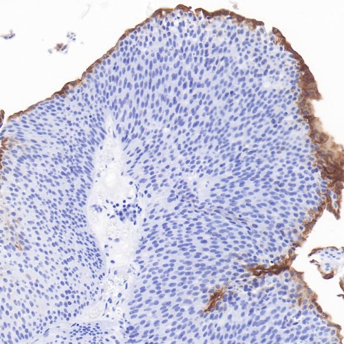
Uroplakin II is one of the four main members (Ia, Ib, II, III) of the Uroplakin family, and it is a specific glycoprotein associated with urothelial differentiation. Uroplakin II is negatively expressed in most normal tissues and is mainly highly expressed in urothelial carcinoma, which makes Uroplakin II mainly used to distinguish urothelial carcinoma from other tumors. The expression of Uroplakin II is correlated with the degree of differentiation of urothelial carcinoma, with a higher proportion of expression in better-differentiated cases. Compared with Uroplakin III, the immunohistochemistry of Uroplakin II has higher sensitivity for urothelial carcinoma.
Application
|
Application |
Dilution Ratio |
|
IHC-P |
1:100-1:200 |
Overview
|
Positive Control |
Urothelial carcinoma |
|
Tissue Type |
FFPE |
|
Usage |
RUO |
|
Clone Number |
BP6308 |
|
Subcellular Location |
Cytoplasm, Cell membrane |
|
Retrieval Method |
HIER |
Data

Immunohistochemical staining of urothelial carcinoma tissue using Uroplakin II Monoclonal Antibody(ARB600)
Storage
Store at 4°C short term. For long term storage, store at -20°C, avoiding freeze/thaw cycles.
Research Use Only
For Research Use Only. Not for use in diagnostic procedures.
New Products
